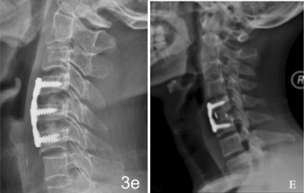
融合产品

规格编码:NNBD/40D

临床优势

Product Introduction

1.优异的生物相容性和生物活性

2.力学性能与自体骨匹配

3.弹性模量接近自体骨,有效减少应力遮挡

4.符合上下终版的解剖学特点

适应症

Indication

● 腰椎盘突出
● 椎管狭窄
产品介绍

Product introduction

相关产品

Related Products

四川省成都市双流区空港四路3666号

电话:028-85189391 传真:028-85189391 028-85187573

网址:www.tinmari.com             邮编:610041

备案号:蜀ICP备11006143号-1

创 新 医 用 生 物 材 料